クリアコレクト症例のご紹介
クリアコレクトで、すっきり歯並び
「矯正って目立ちそう…」
「ワイヤーはちょっと抵抗がある」
そんな方に選ばれているのが、マウスピース矯正(クリアコレクト)です。

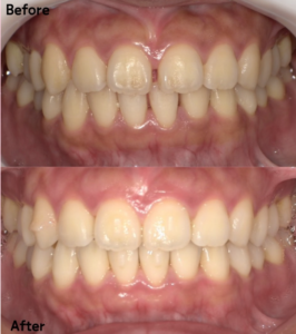
📌今回の症例
・30代/女性
・治療費:330,000円(税込)
※自由診療のため保険適用外
※効果には個人差があります
透明なオーダーメイドのマウスピースを
約1〜2週間ごとに交換しながら、
少しずつ歯を動かしていく治療法。
✔ 目立ちにくい
✔ 取り外し可能で快適
✔ 食事や歯みがきは普段通り
✔ 口腔内を傷つけにくい
最近は、従来のワイヤー矯正より
マウスピース矯正を選ばれる方が増えています。
歯並びの状態によっては、
上下左右で合計4本の抜歯が必要なケースもあります。
これは歯をきれいに並べるためのスペースを確保する目的で、必要な場合のみ、しっかり説明した上で進めます。
「自分の場合はどうなんだろう?」
そんな相談だけでも大丈夫です。
当院では、
お口の状態・ライフスタイルに合わせて
無理のない矯正プランをご提案しています。
📞 ご予約はお電話でどうぞ!
電話番号 0942-33-4888
診療時間 平日 am 9:30〜13:00 / pm 14:30〜19:00
土曜 am 9:30〜13:00 / pm 14:30〜18:00
休診日 水曜日・日祝日


