ホームホワイトニング症例のご紹介
- 2026年2月17日
- ホワイトニング
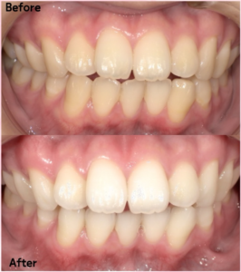
ホームホワイトニング症例のご紹介!

📌【今回の症例】
・20代/女性
・治療費:27,500円(税込)
※診断料無料
※自由診療のため保険適用外
※効果には個人差があります
ホームホワイトニングで、手軽に白く見せたい歯へ。
「歯医者に何度も通うのは難しい」
「自分のペースで白くしたい」
そんな方に選ばれているのが、ホームホワイトニングです。
歯科医師の指導のもと、
専用のホワイトニングジェルを入れた
マウスピースをご自宅で装着することで、
少しずつ歯の色を明るくしていきます✨
✔ 自宅でできて手軽
✔ 自分のペースで続けられる
✔ 歯科管理下だから安心
市販のセルフケアとは違い、
専門的な成分と正しい方法で行うため、
安全性にも配慮されています。
「自分に合う方法を知りたい」
そんなご相談からでも大丈夫です。
📞 ご予約はお電話でどうぞ!
電話番号 0942-33-4888
診療時間 平日 am 9:30〜13:00 / pm 14:30〜19:00
土曜 am 9:30〜13:00 / pm 14:30〜18:00
休診日 日祝日


