クリアコレクト症例のご紹介
- 2026年1月19日
- 症例
\ クリアコレクトで、すっきり歯並び /
実際の症例をご紹介します。
「矯正って目立つし大変そう…」
そんなイメージを持っている方にこそ、知ってほしい矯正方法です。

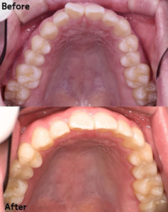
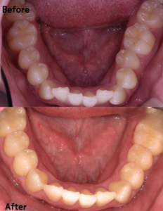
🔹症例紹介
・歯並びのガタつきが改善
・アーチが整い、全体がスッキリ
・見た目だけでなく、清掃性も向上
※症例写真はすべて治療前後の比較です
※効果には個人差があります
⸻
🔹クリアコレクトとは?
オーダーメイドの**透明なマウスピース(クリアアライナー)**を
約1〜2週間ごとに交換しながら、
段階的に歯を動かしていく矯正治療です。
最近は、
従来のワイヤー矯正より
マウスピース矯正を選ばれる方が増えています。
⸻
🔹クリアコレクトの特徴
✔ 目立たない
装着していてもほとんど気づかれません
✔ 取り外し可能
食事・歯磨きは普段通り
✔ お口にやさしい
ワイヤーのように口腔内を傷つけにくい設計
⸻
🔹抜歯が必要な場合について
歯並びの状態によっては、
上下左右で合計4本の抜歯が必要になることもあります。
矯正で抜歯を行う目的は、
歯をきれいに並べるためのスペースを確保すること。
無理に抜かず、
必要な場合のみ、しっかり説明した上で進めます。
⸻
矯正は「見た目」だけでなく、
将来の歯の健康を守る治療でもあります。
当院では、
お口の状態・ライフスタイルに合わせて
無理のない矯正プランをご提案しています。
📞 ご予約はお電話でどうぞ!
電話番号 0942-33-4888
診療時間 平日 am 9:30〜13:00 / pm 14:30〜19:00
土曜 am 9:30〜13:00 / pm 14:30〜18:00
休診日 日祝日


