オフィスホワイトニング症例のご紹介
- 2025年12月18日
- 症例
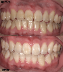
オフィスホワイトニング症例のご紹介!

今回の症例は、一度の施術でトーンアップした患者さまの Before / After です!
🔳治療内容
オフィスホワイトニングを行いました。
🔳治療費用
16,500円(税込)
🔳所要時間
1時間半
🔳 リスク
飲食や喫煙などの生活習慣によって白さが徐々に戻る場合があります。
「歯を白くしたいけど、痛みが心配…」
「どれくらい変わるの?」という方もご安心ください☺️
やまだ歯科では、
患者さま一人ひとりの歯の状態に合わせて
無理のないペースでホワイトニングを行っています🌿
📍効果
・くすみのない自然な白さへトーンアップ
・清潔感のある印象に
・笑顔に自信が持てる✨
☑️ Point
オフィスホワイトニングなら、
☑ 高濃度の薬剤を使用(歯科でしか扱えない成分)
☑ 歯の状態を見て処置するから安全
☑ 国家資格を持ったプロが施術
「初めてのホワイトニングで不安…」という方にも、やまだ歯科クリニックでは、国家資格を持つ歯科医師・衛生士が施術し、アフターケアまでに丁寧にサポートします❗️
歯科医院で行う【オフィスホワイトニング】とご自宅で続けられる【ホームホワイトニング】
両方に対応しています💡
🔸こんな方におすすめ
・早く白さを実感したい
・大事な予定が近い
・ホームホワイトニングと組み合わせたい
・まずは一度試してみたい
即効性•安全性•高濃度でしっかり白くします❗️
理想の白い歯を手に入れましょう✨🦷
気になる方は、まずは気軽にご相談ください。
あなたの“笑顔の印象”が、今日から変わります🤍
📞 ご予約はお電話でどうぞ!
電話番号 0942-33-4888
診療時間 平日 am 9:30〜13:00 / pm 14:30〜19:00
土曜 am 9:30〜13:00 / pm 14:30〜18:00
休診日 水曜日・日祝日


