ヘッダー画像

医療コラム

クリアコレクト症例のご紹介|久留米・西鉄久留米駅横の歯医者|やまだ歯科クリニック

インスタグラム

クリアコレクト症例のご紹介

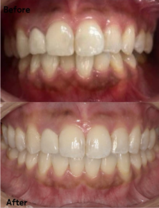
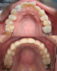
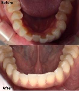
【マウスピース矯正でここまで変わる!】✨
\クリアコレクト症例紹介🦷/

歯並びのガタつきや前歯の重なり、
「気になるけどワイヤーはちょっと…」
そんな方におすすめなのが【クリアコレクト】✨
  
📷画像は、実際のBefore→After症例!
マウスピース矯正でここまで綺麗になります❗️

🔳治療内容

クリアコレクトにて矯正治療を行いました。

🔳年齢/性別

30/女性

 🔳治療費用

550,000(税込)

 🔳所要期間

 11ヶ月

 🔳 リスク

自由診療のため保険が効かない

1日22時間以上の装着が必要(食事以外)

 🔍クリアコレクトの特徴
✔️ 透明で目立ちにくい
✔️ 取り外し可能で快適
✔️ 通常のワイヤー矯正より負担が少ない

 

📞 ご予約はお電話でどうぞ!
電話番号 0942-33-4888

診療時間 平日 am 9:3013:00 / pm 14:3019:00
     土曜 am 9:3013:00 / pm 14:3018:00
休診日  日祝日

PageTop