ヘッダー画像

医療コラム

オフィスホワイトニング症例のご紹介|久留米・西鉄久留米駅横の歯医者|やまだ歯科クリニック

インスタグラム

オフィスホワイトニング症例のご紹介

オフィスホワイトニング症例のご紹介!

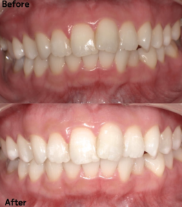
症例:20代女性
所要時間:約1時間

料金:16,500(税込)

 

【笑ったとき、歯の色気になっていませんか?】
オフィスホワイトニングで
“見せたくなる歯”へ。

歯科医院で行うホワイトニングは、
高濃度のホワイトニング剤を使用し、短時間で歯を白くしていく方法です。

✔ 1回でも効果を実感しやすい
✔ 国家資格を持つ歯科医師・歯科衛生士が対応
✔ 歯の状態を確認しながら行うので安心

短時間で印象が変わることも多く、
大切な予定の前や、笑顔に自信を持ちたい方にもおすすめです。

※生活習慣(飲食・喫煙など)により色戻りする場合があります
※効果には個人差があります。

 

📞 ご予約はお電話でどうぞ!
電話番号 0942-33-4888

診療時間 平日 am 9:3013:00 / pm 14:3019:00
     土曜 am 9:3013:00 / pm 14:3018:00
休診日  日祝日

PageTop