ヘッダー画像

医療コラム

オフィスホワイトニング症例のご紹介!|久留米・西鉄久留米駅横の歯医者|やまだ歯科クリニック

インスタグラム

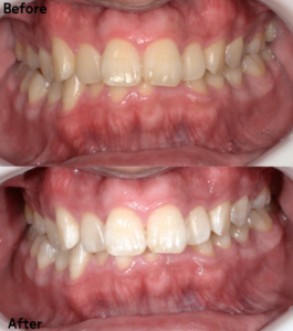
オフィスホワイトニング症例のご紹介!

オフィスホワイトニング症例のご紹介!

🔳治療内容

オフィスホワイトニングを行いました。

🔳年齢/性別

20/男性

 🔳治療費用

16,500(税込)

 🔳所要時間

 1時間半

 🔳 リスク

飲食や喫煙などの生活習慣によって白さが徐々に戻る場合があります。

🔳セルフホワイトニングや市販のアイテムで
「思ったより効果が出ない
「白くなったけどすぐ戻った
そんな経験がある方にもおすすめ❗️

歯科医院で行うオフィスホワイトニングは、短時間でしっかり白さを実感できます✨

☑️ Point

オフィスホワイトニングなら、
高濃度の薬剤を使用(歯科でしか扱えない成分)
歯の状態を見て処置するから安全
国家資格を持ったプロが施術

「初めてのホワイトニングで不安…」という方にも、やまだ歯科クリニックでは、国家資格を持つ歯科医師・衛生士が施術し、アフターケアまでに丁寧にサポートします❗️

即効性•安全性•高濃度でしっかり白くします❗️
理想の白い歯を手に入れましょう✨🦷

📞 ご予約はお電話でどうぞ!
電話番号 0942-33-4888

診療時間 平日 am 9:3013:00 / pm 14:3019:00
     土曜 am 9:3013:00 / pm 14:3018:00
休診日  日祝日

PageTop